就目前而言,试管婴儿技术是比较先进的辅助生殖技术,帮助不少不孕不育患者完成了怀孕生产的愿望。但是试管婴儿的成功率也不是100%,也会出现空囊的情况,出现空囊往往就意味着胚胎发育出现了异常,可能会发生胚胎停育、流产等情况。

怀孕后孕囊没有胎心、胎芽
试管婴儿空囊的概率
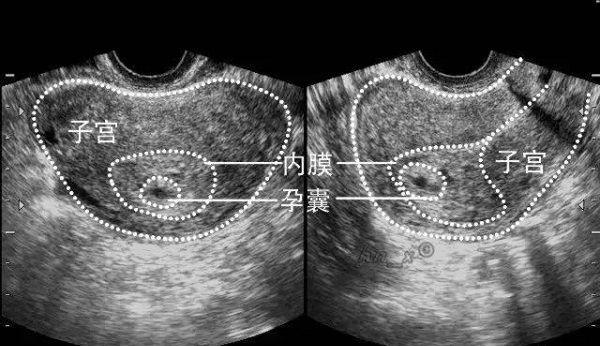
正常情况下,女性通过试管婴儿技术怀孕后6-8周的时候,就可以通过B超看到孕囊有胎心、胎芽的出现。如果在孕囊中没有发现胚胎组织的话,就代表是空囊。

试管空囊的概率在5%左右
通常来说,做试管婴儿出现空囊的几率是相当小的,但是也不是完全不会出现。在进行试管手术之前就会对夫妻双方的身体进行详细的检查,手术结束后也是一样,所以试管出现空囊的概率是非常小的,会有极少数的孕妇在怀孕后会出现空囊的情况,这种概率大概在5%以下。
导致试管婴儿空囊的原因
每一个家庭都希望自己能够孕育出一个健康、可爱的宝宝,并且不少不孕家庭历经长时间的试管治疗终于如愿怀孕,然而在怀孕3个月后查出空囊让幸福戛然而止。

空囊的原因盘点
空囊,也就是萎缩性囊胚,是女性怀孕初期流产的原因之一。通常情况下女性在进行试管婴儿后出现空囊的情况也就代表着胚胎停育。然而导致试管婴儿空囊的原因有很多,主要包括以下几点:
1、精子卵子的质量不佳
当患者的年龄比较大时,精子和卵子的质量就会下降,精子和卵子的质量不佳就会导致受精卵的质量差,然而这些质量差的受精卵就非常容易在移植后停止发育,进而出现试管空囊的情况;
2、免疫因素
当女性的免疫系统出现异常,就会导致母体对胎儿产生排斥,就会形成个封闭的抗体,对胎儿进行攻击,进而导致胚胎停育也就是空囊的情况出现;
3、内分泌因素
当女性内分泌失调是,就会导致体内的黄体功能不全,进而导致女性出现甲状腺功能异常、高泌乳血症以及妊娠期糖尿病等疾病的发生,这些疾病的出现也会导致试管空囊;

内分泌失调也是导致空囊的原因之一
4、染色体异常
试管空囊是胚胎在发育过程中染色体出现异常,进而导致胚胎的生长发育出现了异常情况,最终造成试管空囊的情况出现;
5、外界环境的因素
如果孕妇在怀孕初期长期处于有毒环境下接触了有害物质或是感染了什么病毒,都是会导致试管出现空囊的。
试管空囊是人体优胜劣汰的结果,出现一次空囊也不必泰国担心,调整好心理和身体,再次移植怀孕即可。
试管空囊的症状表现
试管出现空囊也就是说女性在怀孕后,由于胚胎的质量不佳,导致孕囊中没有胎心胎芽的生长发育。女性在怀孕期间身体会出现不同程度的变化。当女性怀孕初期出现空囊也会出现比较明显的症状和表现。

出现腹痛需警惕
怀孕空囊最明显的症状就是女性的早孕反应不明显,不会出现明显的恶心、呕吐或胸部胀痛的情况。这都是由于空囊导致女性体内的雌激素和hcg值水平偏低而引起的。并且长时间的空囊,可能还会导致女性出现阴道少量出血和腹痛的症状出现。
总之,女性在怀孕后要时刻关注自己的身体变化,当出现以上症状或其他异常情况一定要及时就医,避免造成不好的后果。
试管如何避免空囊
孕囊是怀孕最初的形态,此时胎儿还没有完全形成,但是胎芽和胎心已经出现。在试管婴儿中发生空囊的几率是相当小的,但是也不能完全避免,因此在怀孕期间女性一定要提高警惕,不要掉以轻心。

做好定期检查
在了解了导致试管空囊的原因以及试管空囊的症状之后,为避免悲剧的造成,就应该做好以下避免试管空囊的办法,主要包括以下几种:
只要做好以上的预防措施,就能够在一定程度上避免试管出现空囊的情况,以确保胎儿在女性体内的生长发育。
